找回密码
 注册

微信登录,快人一步

QQ登录

只需一步,快速开始

四川省猫论坛 门户 新闻健康资讯

健康资讯

猴痘将纳入乙类传染病管理
猴痘将纳入乙类传染病管理
自 2023 年 9 月 20 日起将猴痘纳入乙类传染病进行管理,采取乙类传染病的预防、控制措施。
2023-9-15 17:02
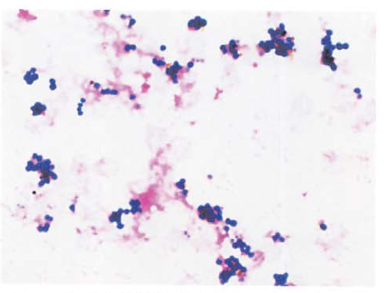
用药后再送尿培养会怎样?
用药后再送尿培养会怎样?
这周看平板,根据平板细菌生长情况加医嘱查询,应该是用药后才送检的尿培养标本。为什么要拿出来讲呢?因为平板上菌落生长分布情况较为特殊。这些标本接种平板,经24小时培养,二区菌落数量远远超过一区,一区甚至不 ...
2023-9-15 11:05
快速诊断血流感染的数十种检测方法大盘点!
快速诊断血流感染的数十种检测方法大盘点!
血流感染是局部感染最严重的并发症,是造成ICU患者死亡的重要原因,严重威胁患者的生命。据报道,在美国每年有65万-75万患者死于脓毒症。因此,严重的血流感染早期给予足量的抗菌药物治疗是降低病死率的最重要因素, ...
2023-9-15 10:32
生物安全 病原微生物安全数据单描述指南
生物安全  病原微生物安全数据单描述指南
编者按病原微生物安全数据单是描述能引起人类、动物致病的病原微生物的生物学、流行病学和临床致病特征。这些文件是处理感染性材料的实验室编制实验活动风险评估、生物安全培训和管理信息的重要组成部分和信息资源。 ...
2023-9-13 10:12
Clin. Infect. Dis.:鲍曼-钙酸不动杆菌复合体的全球流行病学和耐药机制 ...
Clin. Infect. Dis.:鲍曼-钙酸不动杆菌复合体的全球流行病学和耐药机制 ...
近日,,美国JMI实验室Mariana Castanheira等在Clinical InfectiousDiseases上发表“Global Epidemiology and Mechanisms ofResistance of Acinetobacterbaumannii-calcoaceticus Complex”的论文,简要内容如下:鲍 ...
2023-9-12 15:09
新型设计方法,未来抗生素可能是这样子的……
新型设计方法,未来抗生素可能是这样子的……
抗生素的引入彻底改变了医学,为曾经致命的传染病提供了有效的治疗方法,并使外科手术和器官移植等现代医学成为可能。广泛的耐药性发展阻碍了抗生素的有效性和使用寿命,要求在与人类病原体的永久对峙中发现新的药物 ...
2023-9-12 15:07
高毒力肺炎克雷伯菌致脑脓肿一例
高毒力肺炎克雷伯菌致脑脓肿一例
肺炎克雷伯菌属于医院获得性感染和社区获得性感染的常见病原菌之一,能造成下呼吸道感染、腹腔感染、尿路感染等多个部位感染。高毒力肺炎克雷伯菌(hypervirulentKlebsiella pneumoniae,hvKp)在全球广泛传播,与传 ...
2023-9-12 15:05
登革热暴发,我国一地区确诊破3000例!台风会使登革热增加!福建、两广要重视! ...
登革热暴发,我国一地区确诊破3000例!台风会使登革热增加!福建、两广要重视! ...
台风真的会让登革热发病数增加!登革热是由登革病毒引起的,经伊蚊(俗称“花斑蚊”)传播的急性传染病。登革病毒存在于登革热病人或隐形感染者的血液中,伊蚊吸吮了患者的血液再叮咬其他人,从而将病毒传播给人。那 ...
2023-9-11 14:54
透析感控|护士手部有伤口,为什么要戴双层手套?该如何佩戴呢? ...
透析感控|护士手部有伤口,为什么要戴双层手套?该如何佩戴呢? ...
手上有伤口,但是护理人员也不能因为这点“轻伤”就下火线,那么就需要佩戴两副手套来进行操作。有一位老师前天来问,这个需要佩戴两副手套的出处来自于哪里?查询了《医务人员手卫生规范》和咱们的《血液净化标准操 ...
2023-9-11 14:51
传递窗紫外灯杀菌时间的探讨
传递窗紫外灯杀菌时间的探讨
传递窗是洁净室的一种辅助设备,主要用于洁净区与洁净区、非洁净区与洁净区之间的小件物品的传递,以减少洁净室的开门次数,最大限度的降低洁净区的污染。 ...
2023-9-8 17:13
公卫医师可以开处方了?一地最新发文
公卫医师可以开处方了?一地最新发文
「赋予公共卫生医师处方权」
2023-9-8 17:12
菌株鉴定方法大PK,孰强孰弱?
菌株鉴定方法大PK,孰强孰弱?
随着生物材料的广泛研发和应用,菌株的鉴定检测成为质量控制和功能筛选的重要环节。本期实验菌将为大家深入介绍适用于生物材料领域的主要菌株鉴定方法以及各种方法的优缺点,希望通过本文让大家对菌株鉴定和相关技术 ...
2023-9-7 12:44
2019年欧洲毛霉病诊疗指南解读
2019年欧洲毛霉病诊疗指南解读
毛霉菌病具有破坏性并进展迅速,须紧急干预。自2013年欧洲毛霉诊疗指南制定以来,近年又有诸多研究进展,需要进一步更新。2019年欧洲医学真菌学联合会(ECMM)与真菌病研究小组教育与研究联合会(MSG ERC)联合发布 ...
2023-9-7 12:42
【微生物】细菌耐药性检测
【微生物】细菌耐药性检测
临床常用抗菌药物
2023-9-6 15:48
中国医疗机构工作人员流感疫苗预防接种指南
2023年9月第307期导读为了加强中国医疗机构工作人员流感疫苗的接种,中华预防医学会医院感染控制分会联合中国临床实践指南联盟制定了《中国医疗机构工作人员流感疫苗预防接种指南》。本指南结合国内外研究进展和专家 ...
2023-9-6 15:47
【文献速递】Crit Care | 每日常规血培养在ECMO患者血流感染中的诊断获益评估 ...
【文献速递】Crit Care | 每日常规血培养在ECMO患者血流感染中的诊断获益评估 ...
血流感染 (BSIs) 在静脉-动脉体外膜肺氧合 (V-A ECMO) 中较为常见。进行常规血培养 (BC) 可识别早期少症状性BSIs。我们系统研究了每日常规血培养 在 V-A ECMO 中检测 BSIs 的贡献。 ...
2023-9-5 16:40
迄今最大规模!我国HIV传播性耐药(TDR)的监测结果
迄今最大规模!我国HIV传播性耐药(TDR)的监测结果
人类免疫缺陷病毒1型(HIV-1)的传播性耐药(TDR)和遗传多样性可影响抗反转录病毒治疗(ART)的效果和临床结局。国内外相关机构都非常重视HIV的分子流行病学调查,对调整HIV防治策略有重要意义。近期,《中国疾控中 ...
2023-9-5 16:39
数说细菌,遏制耐药:从最新CHINET报告看CRO治疗现状和对策
数说细菌,遏制耐药:从最新CHINET报告看CRO治疗现状和对策
细菌耐药是全人类面临的重大公共卫生危机,尤其是碳青霉烯类耐药革兰阴性菌(CRO)等多重耐药细菌(MDR)对临床抗感染治疗带来巨大挑战。最新发布的中国细菌耐药监测网(CHINET)2023上半年数据显示,我国CRO含有多 ...
2023-9-5 16:38
当检验君遇到“布鲁君”狭路相逢勇者胜——马尔他布鲁菌血流感染一例 ... ...
当检验君遇到“布鲁君”狭路相逢勇者胜——马尔他布鲁菌血流感染一例 ... ...
言布鲁菌是一类人畜共患的感染性疾病的病原菌。人类对布鲁菌易感,主要通过接触病畜及其分泌物或被污染的畜制品,经皮肤、黏膜、消化道、呼吸道等多种途径感染。临床怀疑布鲁菌感染,可采集患者血液、骨髓、脓性分泌 ...
2023-9-4 10:54
黄痰就是细菌感染?不同颜色的痰提示什么病?
黄痰就是细菌感染?不同颜色的痰提示什么病?
某些呼吸道疾病常会导致我们咳痰,那么痰液是如何产生的呢?痰液的颜色与呼吸道疾病又有什么关联呢?
2023-9-4 10:51
2023版IDSA耐药G-菌感染治疗指南(附全文)
2023版IDSA耐药G-菌感染治疗指南(附全文)
”抗微生物耐药性(AMR)是全球面临的公共卫生危机,最新数据显示2019年估计全球有130万人直接死于AMR细菌感染,且革兰阴性耐药细菌仍是最常见的临床分离株。近期,美国感染病学会(IDSA)更新发布了2023版的《抗微 ...
2023-9-1 10:36
国家疾控局关于印发传染病疫情风险评估管理办法(试行)的通知 ...
国家疾控局关于印发传染病疫情风险评估管理办法(试行)的通知 ...
国家疾控局关于印发传染病疫情风险评估管理办法(试行)的通知
2023-8-31 22:40
国家卫生健康委办公厅关于印发手术质量安全提升行动方案(2023—2025年)的通知 ...
国家卫生健康委办公厅关于印发手术质量安全提升行动方案(2023—2025年)的通知 ...
为深入推进健康中国建设,进一步提升医疗机构手术管理能力,保障患者手术质量安全,按照《全面提升医疗质量行动计划(2023—2025年)》安排,国家卫生健康委近日印发《手术质量安全提升行动方案(2023—2025年)》。 ...
2023-8-31 22:39
2023最新国家卫生行业标准新鲜出炉
2023最新国家卫生行业标准新鲜出炉
最新文件
2023-8-30 23:16
猴痘与HIV:有什么联系?
猴痘与HIV:有什么联系?
猴痘与HIV:有什么联系?猴痘是由猴痘病毒感染引起的疾病。猴痘病毒主要经黏膜和破损皮肤侵入人体,主要通过直接接触病例的病变皮肤或黏膜传播,亦可通过接触被病毒污染的物品、长时间近距离吸入病例呼吸道飞沫传播 ...
2023-8-29 22:04
“把液体视为药物”!脓毒症患者液体治疗的“四部曲”
“把液体视为药物”!脓毒症患者液体治疗的“四部曲”
”重症医学科(ICU)中大约20%~30%的患者存在脓毒症,液体治疗是其治疗的关键组成部分。虽然静脉补液可以增加心输出量和血压,维持或增加血管内液体量,并输送药物,但过多输液或错误输液可能会造成患者伤害。近日 ...
2023-8-29 22:03
耐碳青霉烯类鲍曼不动杆菌感染的治疗,来看2023 IDSA指南推荐! ...
耐碳青霉烯类鲍曼不动杆菌感染的治疗,来看2023 IDSA指南推荐! ...
随着碳青霉烯类药物的广泛使用,院内耐碳青霉烯类鲍曼不动杆菌(CRAB)的感染率居高不下。CRAB感染可导致患者住院时间延长,住院费用增加并增加患者死亡风险。 ...
2023-8-28 21:05
CHINET2023年上半年细菌耐药监测结果
CHINET2023年上半年细菌耐药监测结果公布,详见下面网址http://www.chinets.com/Data/AntibioticDrugFast
2023-8-28 21:04
新冠二阳半年后,男子的腿变蓝了:柳叶刀最新报告
新冠二阳半年后,男子的腿变蓝了:柳叶刀最新报告
近日,英国报道一例独特的新冠「后遗症」。一男子发现自己感染新冠后,站立时腿部会变蓝。
2023-8-25 15:06
病例激增达672例!一地暴发急性传染病
病例激增达672例!一地暴发急性传染病
据菲律宾媒体当地时间20日报道,菲北部高山省卫生办公室在近期一场会议上透露,今年1月1日至8月14日,该省共录得672例基孔肯雅热病例,而去年全年该省没有发现任何此类病例。 ...
2023-8-25 15:05
澳大利亚血液透析中心感染控制指南建议
澳大利亚血液透析中心感染控制指南建议
这是一篇澳大利亚和新西兰血液透析单位的感染控制的指南建议,阐述了与传染病筛查、个人防护设备使用和环境控制相关的问题,并特别关注血液传播病毒和多重耐药菌。 ... ...
2023-8-24 10:34
【指南与共识】上尿路结石患者围手术期感染控制及抗菌药物应用专家意见(2023版) ...
【指南与共识】上尿路结石患者围手术期感染控制及抗菌药物应用专家意见(2023版) ...
上尿路结石围手术期感染控制及抗菌药物应用专家意见
2023-8-24 10:32
2023版IDSA耐药G-菌感染治疗指南(附全文)
2023版IDSA耐药G-菌感染治疗指南(附全文)
抗微生物耐药性(AMR)是全球面临的公共卫生危机,最新数据显示2019年估计全球有130万人直接死于AMR细菌感染,且革兰阴性耐药细菌仍是最常见的临床分离株。近期,美国感染病学会(IDSA)更新发布了2023版的《抗微生 ...
2023-8-23 09:03
权威报告!多重耐药菌(MDRO)的分类和最新流行趋势
权威报告!多重耐药菌(MDRO)的分类和最新流行趋势
点击蓝字 关注我们近年来,随着临床抗菌药物不合理使用、免疫抑制剂应用导致致病菌耐药性及耐药程度日渐严重,加上侵入性操作的开展,导致多重耐药菌(multidrug-resistant organism,MDRO)医院感染形势日益严峻, ...
2023-8-23 09:01
紧急!这地暴发细菌性炭疽病,限制入境
紧急!这地暴发细菌性炭疽病,限制入境
8月21日报道,俄罗斯沃罗涅日州地方当局表示,由于暴发致命的细菌性炭疽病,该州一个地区已宣布进入紧急状态。
2023-8-23 09:00
病例激增达672例!一地暴发急性传染病
病例激增达672例!一地暴发急性传染病
据菲律宾媒体当地时间20日报道,菲北部高山省卫生办公室在近期一场会议上透露,今年1月1日至8月14日,该省共录得672例基孔肯雅热病例,而去年全年该省没有发现任何此类病例。基孔肯雅热是一种由基孔肯雅病毒引起、以 ...
2023-8-22 12:41
对中印影响最大,这种感染或将引爆下次全球“大流行”
对中印影响最大,这种感染或将引爆下次全球“大流行”
国家地理图片集一场比艾滋病和疟疾更致命的感染正在发生——抗生素耐药感染。简单的来说就是,针对细菌感染的救命药—抗生素,无效了,普通疾病就可能要人命。更严重的是,空气污染已被证实会影响抗生素耐药性。浙江 ...
2023-8-22 12:39
临床感染指标哪家强?盘点常见炎症检测指标
临床感染指标哪家强?盘点常见炎症检测指标
点击蓝字 关注我们在临床患者诊治中感染是常见且多发的一种疾病,严重的影响了患者的病情康复及身体健康。血清降钙素原(PCT)、超敏C反应蛋白(hs-CRP)和白介素6(IL-6)等皆是临床用来诊断早期感染的常见指标。1PCTPC ...
2023-8-22 12:38
母子双双确诊,1人去世!
母子双双确诊,1人去世!
老人干农活后突发疾病离世照顾母亲生活起居的儿子也出现同样症状经诊断母子俩得的都是由新型布尼亚病毒感染引起的急性传染病幕后元凶居然是小小的蜱虫母亲被蜱虫叮咬发现不及时去世 ... ...
2023-8-21 22:21
「细菌感染」还是「病毒感染」?4步带你鉴别
「细菌感染」还是「病毒感染」?4步带你鉴别
哪些方法能帮助我们快速鉴别细菌 or 病毒感染呢?
2023-8-21 11:30
联合 4 家顶级三甲,重大疾病研究中心成立
联合 4 家顶级三甲,重大疾病研究中心成立
8 月 19 日,国家疾病预防控制局针对新冠病毒 EG.5 变异株进行了科普问答。EG.5 变异株为奥密克戎 XBB.1.9.2 的一个亚分支。8 月 9 日,WHO 将其调整为「关注变异株」,同时评估「EG.5 变异株显示出传播能力和免疫逃 ...
2023-8-21 11:13
新冠病毒EG.5变异株流行情况如何?如何防护?
新冠病毒EG.5变异株流行情况如何?如何防护?
新冠病毒EG.5变异株是什么?EG.5变异株为新冠病毒奥密克戎XBB.1.9.2的一个亚分支,最早于2023年2月17日在印度尼西亚被发现。7月19日,世界卫生组织(WHO)将其列为“监测中的变异株”(variant under monitoring,VU ...
2023-8-21 11:09
关于新冠病毒EG.5变异株相关科普问答
新冠病毒EG.5变异株是什么?
2023-8-21 09:32
中国医师节:致敬我的同行
中国医师节:致敬我的同行
随着医学发展及医疗服务理念的变化,多学科联合诊疗已成为临床治疗的新模式和发展方向。如今,很多疾病问题,并非一名医生、一种治疗、一把刀、一类药就可以解决。为了挽救患者生命,帮他们更好地生活,医护团队一直 ...
2023-8-18 11:42
【知识】不同情形下感染性病的风险
【知识】不同情形下感染性病的风险
小案例:小明有约pao的习惯,虽然了解性病传播的知识,但因为大部分时候都使用安全套,而且这么多次都没有问题,所以就在这方面放松了警惕,直到有一天发觉下体瘙痒,去医院检查发现患了尖锐湿疣,从此开始了反复的 ...
2023-8-18 11:41
今年提前来袭!最近,很多小孩感染!医生提醒→
今年提前来袭!最近,很多小孩感染!医生提醒→
往年肺炎支原体感染高发于秋冬季,但今年提前来袭。不少家长表示自己的娃也中招了。最近,北方省份、江浙一带的医院里传出“支原体肺炎”来势汹汹的消息记者从广州市妇女儿童医疗中心了解到,经过6月的手足口病、疱 ...
2023-8-18 11:39
感染登革热是一种怎样的经历?
感染登革热是一种怎样的经历?
立秋刚过天气依然炎热不少蚊虫继续四处出击作为蚊媒传染病“一哥”登革热近期也被频频提及据WHO报告显示,今年以来,登革热病例在东南亚国家持续增加,马来西亚、菲律宾等国的病例数与去年同期相比显著上升。 ... ...
2023-8-18 11:37
白细胞升高别只想到细菌感染,还有这 10 个原因要知道!
白细胞升高别只想到细菌感染,还有这 10 个原因要知道!
白细胞是人体与疾病斗争的「卫士」,根据其形态、功能和来源部位可以分为三大类:粒细胞、单核细胞和淋巴细胞。白细胞一般有活跃的移动能力,可以从血管内迁移到血管外,或从血管外组织迁移到血管内。因此,当病菌侵 ...
2023-8-17 09:01
已致1死2感染!爱吃这些的当心!专家提醒:死亡率或近100%
已致1死2感染!爱吃这些的当心!专家提醒:死亡率或近100%
海鲜好吃,烹饪时也经常会遇到一些麻烦,一不小心就可能,被蟹钳伤、被虾刺伤,被鱼咬伤、被贝类割伤......此时,该怎么办?
2023-8-17 08:59
“红眼病”看一眼就会被传染?
“红眼病”看一眼就会被传染?
“红眼病”真的是看看就传染吗 ?为什么会得“红眼病”?红眼病(医学名称急性出血性结膜炎)是一种传染性极强的急性病毒性眼病。图源:水印全年均可发病,多见于夏秋季,传染性极强,传播速度快。它主要由肠病毒70型 ...
2023-8-16 09:02

相关分类

关闭

站长推荐上一条 /1 下一条

返回顶部