下载APP
收藏本站
帮助中心
天天打卡
切换到宽版
账号
自动登录
找回密码
密码
登录
注册
微信登录,快人一步
只需一步,快速开始
快捷导航
感染网
门户
Portal
论坛
BBS
导读
Guide
圈子
Group
问答中心
活动商城
@资料库
@VIP专区
#全民话题
AI文库
AI聊天
活动中心
积分商城
积分捐助
课件库
法规库
视频库
工具箱
新媒体联盟
专家笔记区
专题见稿区
专题专栏区
活动中心
积分商城
感控书城
技能提升
直播回放
2025年会
法规文库
专家笔记
音视频库
指标解读
感术行动
更多专栏
绑定微信
官方微信
医考圈
绑定手机
官方微博
实名认证
自编书库
论坛公告
发展历程
关于我们
搜索
搜索
热搜:
感术行动
规率行动
送检率
规范解读
口腔科
邻苯二甲醛
隔离标识
水处理
手卫生
手术室
多重耐药菌
计划
法规
本版
用户
四川省猫论坛
»
论坛
›
感染病与暴发
›
感染病诊治
›
紧急求助——82岁老岳父发热1个月(第87楼有更新) ...
1
2
3
4
5
6
7
8
9
10
/ 10 页
下一页
返回列表
发新帖
楼主:
gjs661
紧急求助——82岁老岳父发热1个月(第87楼有更新)
火...
[复制链接]
gjs661
gjs661
当前离线
积分
6331
楼主
|
发表于 2010-6-12 22:48
|
显示全部楼层
回复
159#
桃子妖妖
我院血液/肿瘤科主任建议:在目前需要抗痨又必须使用糖皮质激素情况下,可考虑加用长春新碱或长春地辛(每周一次),可以较快地将糖皮质激素减量,请您与您院专家请教一下,是否可行?
回复
顶
踩
使用道具
举报
桃子妖妖
桃子妖妖
当前离线
积分
3214
发表于 2010-6-14 10:51
|
显示全部楼层
回复
161#
gjs661
个人、也请教了我院专家均认为:不应为了较快地将糖皮质激素减量,而去使用免疫抑制或其它类药,这样用的危险因抑制或增强了患者的免疫力,反而能加重肺间质纤维化,没必要也不需要这样。激素的减量应根据症状、影像学综合做出判断,不能操之过急,否则可能致病情加重或复发,前功尽弃。
回复
顶
踩
使用道具
举报
gjs661
gjs661
当前离线
积分
6331
楼主
|
发表于 2010-6-14 11:41
|
显示全部楼层
回复
162#
桃子妖妖
好的,前天复查胸片较14天前无明显改变,PPD不能做(无药),ADA不能做,ESR3mm/h。三次抗酸染色阳性到底能否确定结核?
那么甲强龙下一步按照上次减量原则吗?为防反复是否减得慢一点?
回复
顶
踩
使用道具
举报
桃子妖妖
桃子妖妖
当前离线
积分
3214
发表于 2010-6-14 11:57
|
显示全部楼层
本帖最后由 桃子妖妖 于 2010-6-14 12:01 编辑
回复
163#
gjs661
不管是结核还是肺纤维化在治疗过程中只要短时间没变化也算治疗有效哦,因为此2种疾病都需要较长的治疗周期,纤维化可能还需要终生维持治疗。既然抗痨治疗已经都上了,就不去纠缠是否确定结核了
。不过结核活跃可能性较大(具体分析见160#)。个人总感觉此次发热,与合并肺部感染关系较大,因予抗菌药物治疗后体温随后即降至正常。甲强龙可按照上次减量原则,只是减药的时间间隔比上次加长些
回复
顶
踩
使用道具
举报
gjs661
gjs661
当前离线
积分
6331
楼主
|
发表于 2010-7-12 17:18
|
显示全部楼层
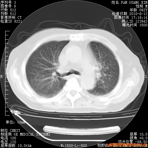
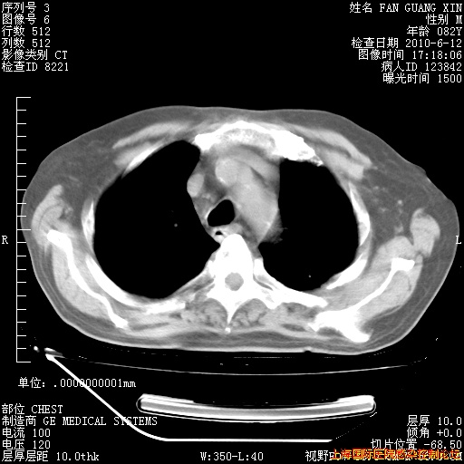
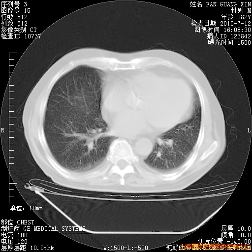
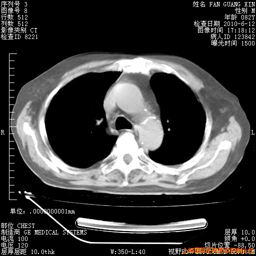
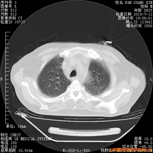
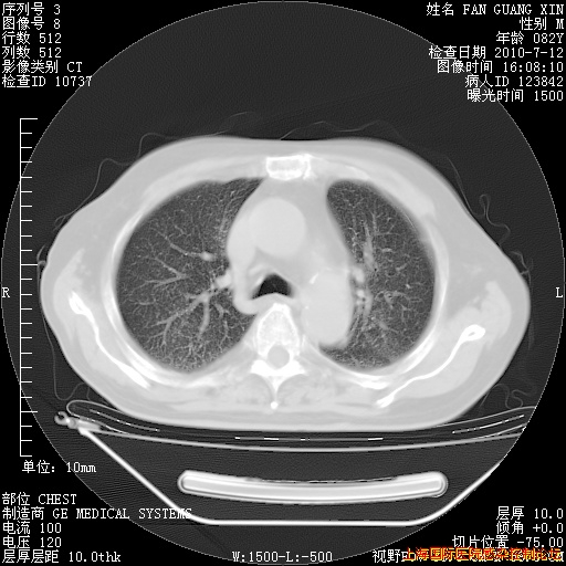
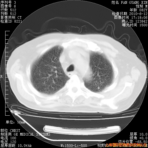
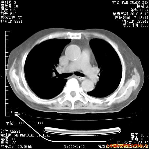
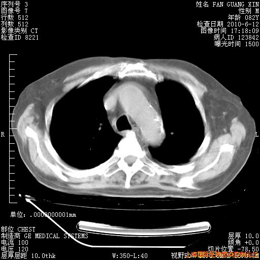
补发6月12日肺部CT肺窗
回复
顶
踩
使用道具
举报
gjs661
gjs661
当前离线
积分
6331
楼主
|
发表于 2010-7-12 17:30
|
显示全部楼层
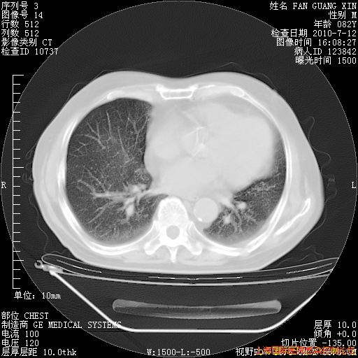
6月12日肺窗
回复
顶
踩
使用道具
举报
gjs661
gjs661
当前离线
积分
6331
楼主
|
发表于 2010-7-12 17:41
|
显示全部楼层
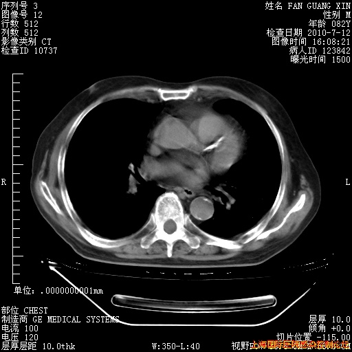
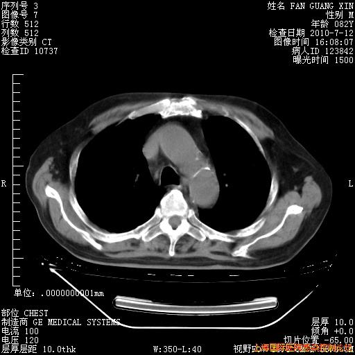
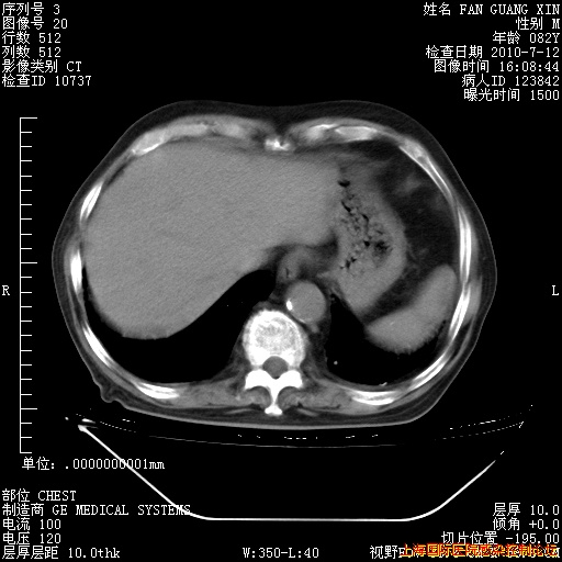
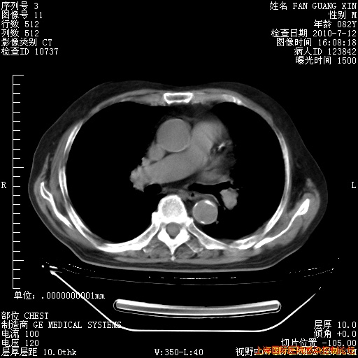
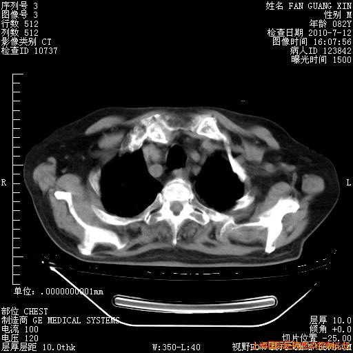
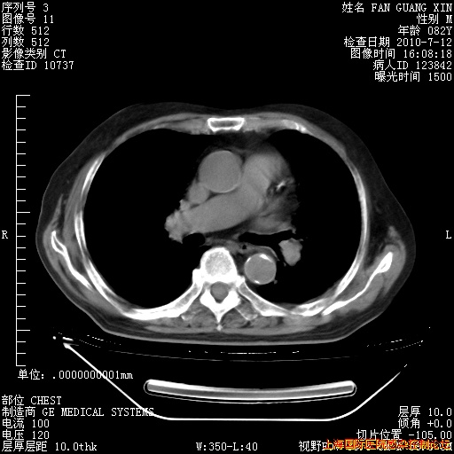
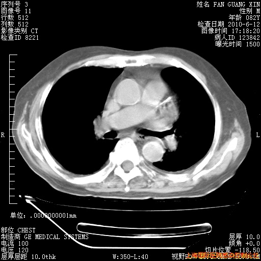
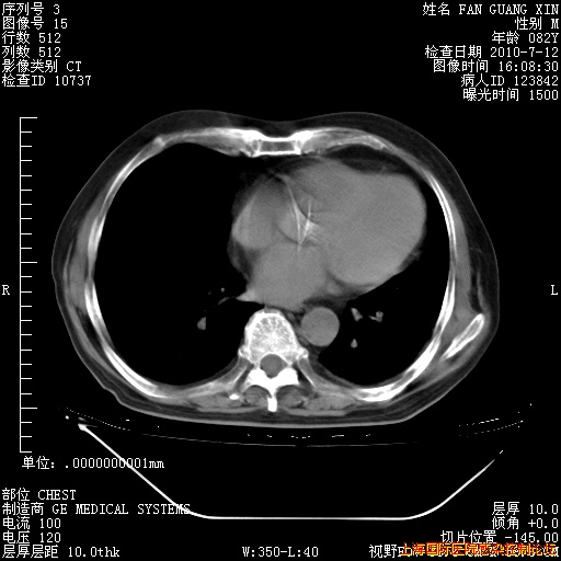
6月12日纵膈窗
回复
顶
踩
使用道具
举报
gjs661
gjs661
当前离线
积分
6331
楼主
|
发表于 2010-7-12 17:42
|
显示全部楼层
6月12日纵膈窗
回复
顶
踩
使用道具
举报
gjs661
gjs661
当前离线
积分
6331
楼主
|
发表于 2010-7-12 18:22
|
显示全部楼层
6月10日改甲强龙80mg qd ,在南京年会期间体温不稳,18日有一次寒战后体温达39度。19日开始用甲强龙60mg bid ,加量后第二天就不发热。本打算在两周后即7月3日减量,但是7月2日洗澡受凉、发热、咳嗽、鼻音,口服复方大青叶片,甲强龙120mg用到9日(整整20天)。
自昨天起甲强龙改为80mg qd。
在抗结核治疗2周后一般情况逐渐好转。
回复
顶
踩
使用道具
举报
gjs661
gjs661
当前离线
积分
6331
楼主
|
发表于 2010-7-12 18:29
|
显示全部楼层
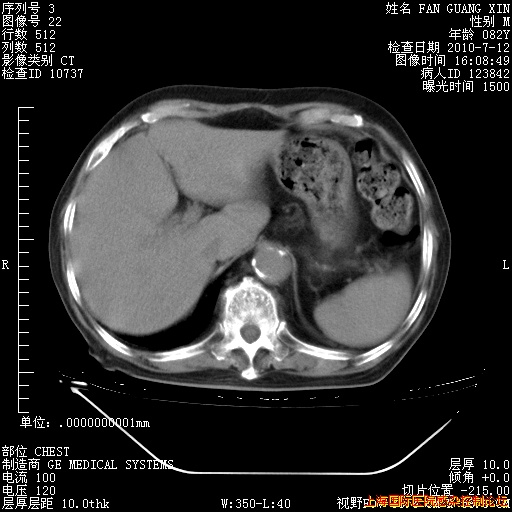
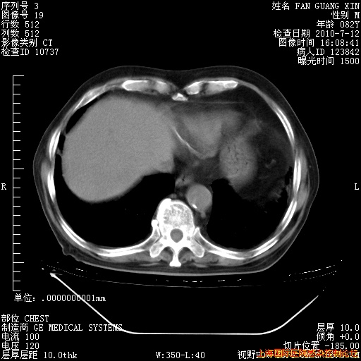
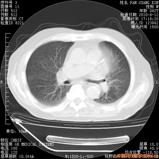
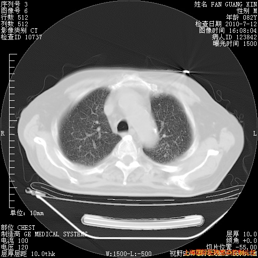
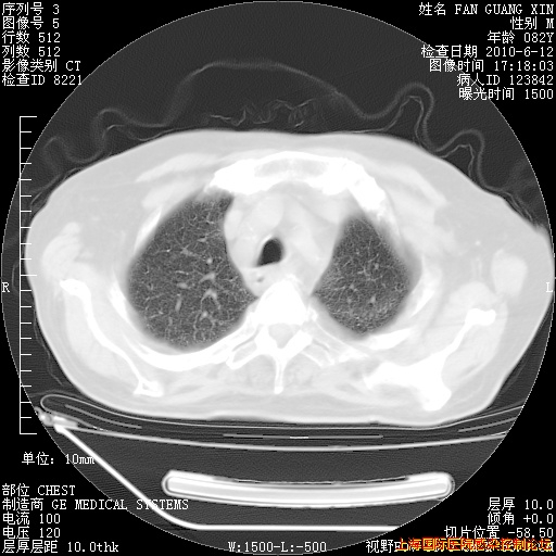
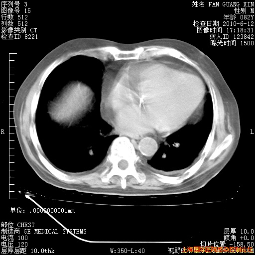
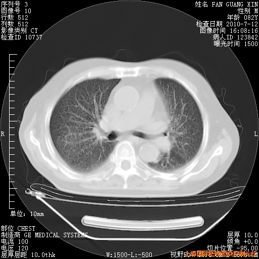
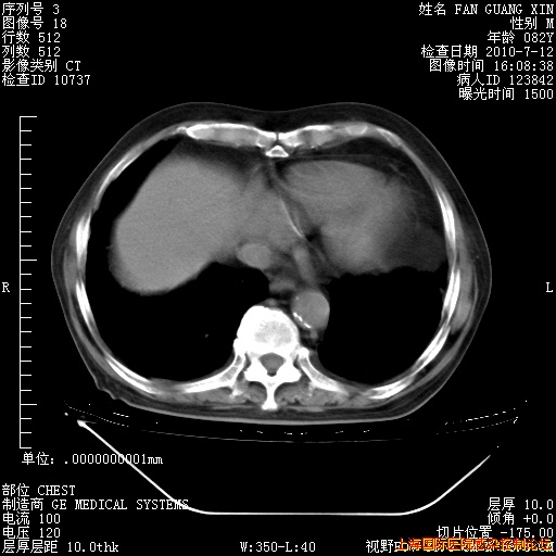
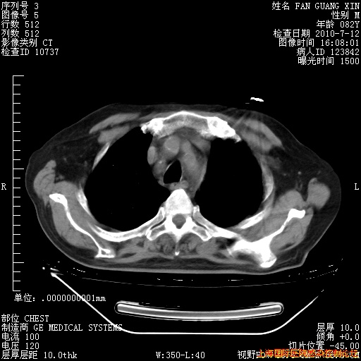
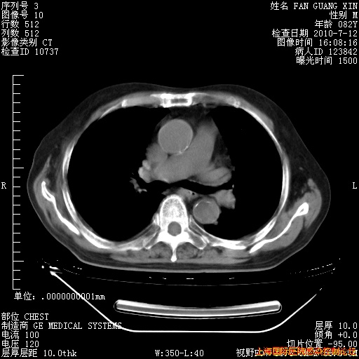
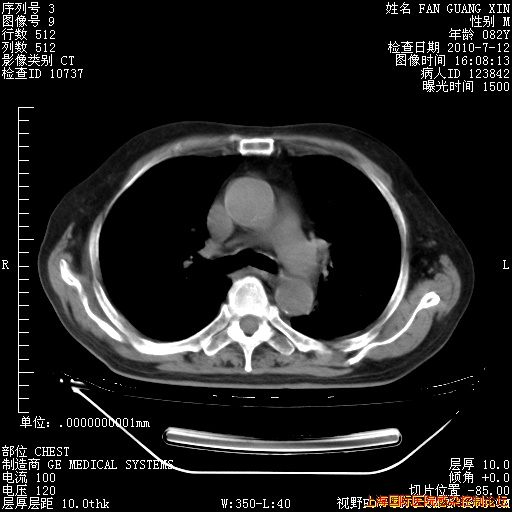
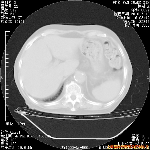
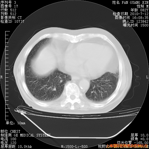
今天复查CT
回复
顶
踩
使用道具
举报
gjs661
gjs661
当前离线
积分
6331
楼主
|
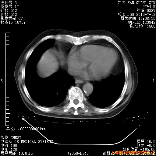
发表于 2010-7-12 18:30
|
显示全部楼层
今天复查CT
回复
顶
踩
使用道具
举报
gjs661
gjs661
当前离线
积分
6331
楼主
|
发表于 2010-7-12 18:32
|
显示全部楼层
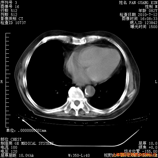
今天CT
回复
顶
踩
使用道具
举报
gjs661
gjs661
当前离线
积分
6331
楼主
|
发表于 2010-7-12 18:40
|
显示全部楼层
今天CT
回复
顶
踩
使用道具
举报
gjs661
gjs661
当前离线
积分
6331
楼主
|
发表于 2010-7-12 18:47
|
显示全部楼层
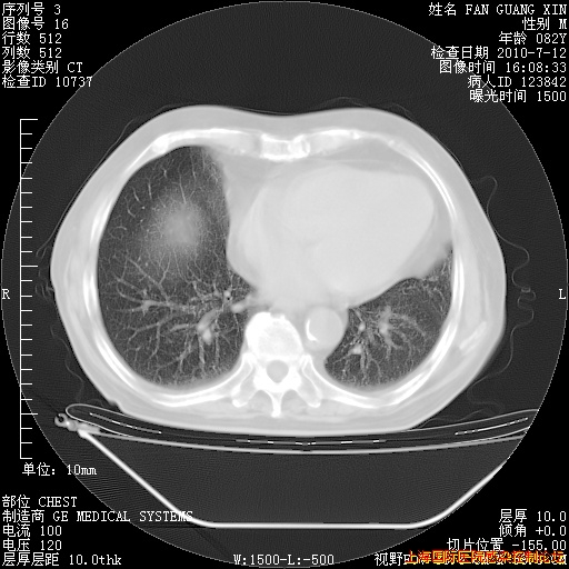
整整相隔30天的肺部CT好像有所好转啊。甲强龙减量第3天,需要观察体温。
回复
顶
踩
使用道具
举报
桃子妖妖
桃子妖妖
当前离线
积分
3214
发表于 2010-7-21 21:38
|
显示全部楼层
海管,自昨日你和我通完话后,不知您岳父消化道症状有无缓解?体温怎样?阅读7.12日胸部ct,个人认为目前激素治疗是有效的,甲强龙减量是适宜的。因在抗痨治疗,需密切观察肝功、肾功能和血常规。不过,老年、长期住院和大量使用激素,很担心菌群失调发生
回复
顶
踩
使用道具
举报
gjs661
gjs661
当前离线
积分
6331
楼主
|
发表于 2010-7-21 22:18
|
显示全部楼层
自昨天通话以后,没有再发热,仅有轻微恶心,未再呕吐,稀便一次,大便常规正常。
血常规白细胞正常,血红蛋白109 g/L。血生化肝功、肾功、血钾偏低。
白蛋白23 g/L(1周前的白蛋白25g/L),血沉13mm/h,CRP26mg/L。
这次好像轻微胃肠炎。
静脉抗菌药物使用48小时,今晚停用。低蛋白血症是否提示疾病活动性?
谢谢您的关心。
回复
顶
踩
使用道具
举报
幸福
幸福
当前离线
积分
10439
打卡等级:热心大叔
打卡总奖励:1467
最近打卡:2025-09-04 08:04:14
发表于 2010-7-21 23:36
|
显示全部楼层
回复
176#
gjs661
你岳父的病还没有好吗?真是一个孝敬老人的好女婿。难能可贵呀!
回复
顶
踩
使用道具
举报
gjs661
gjs661
当前离线
积分
6331
楼主
|
发表于 2010-7-25 08:05
|
显示全部楼层
回复
175#
桃子妖妖
消化道症状消失,但是随着甲强龙减量体温又有波动!
在120mg20天,80mg10天,60mg5天后,昨天今天分别是60mg第6、7天,但是连续两天凌晨4点37.4度。本打算明天开始改成强的松60mg口服,现在怎么办?
回复
顶
踩
使用道具
举报
桃子妖妖
桃子妖妖
当前离线
积分
3214
发表于 2010-7-25 18:30
|
显示全部楼层
37.4度?应该没什么的哦,甲强龙60mg/日,可用至10-14天,若体温尚可稳定,可改为口服强的松治疗。
祝您岳父早日康复
回复
顶
踩
使用道具
举报
gjs661
gjs661
当前离线
积分
6331
楼主
|
发表于 2010-7-26 09:33
|
显示全部楼层
回复
179#
桃子妖妖
今年每次减量到快要改口服时就发热,皮质激素改口服很困难,所以对于这个发热很担心,果然在今凌晨3:15体温38.2度,自行退热,5点37.6度,7:30降到36度。下一步治疗?
回复
顶
踩
使用道具
举报
下一页 »
1
2
3
4
5
6
7
8
9
10
/ 10 页
下一页
返回列表
发新帖
高级模式
B
Color
Image
Link
Quote
Code
Smilies
您需要登录后才可以回帖
登录
|
注册
|
本版积分规则
发表回复
回帖并转播
回帖后跳转到最后一页
浏览过的版块
辩论赛
管理经验分享
消毒供应中心
督导方案与迎检经验
新手集结号
我要投稿
传染病管理
手术室与介入室
关闭
站长推荐
/1
输液管的连接头,算损伤性还是感染性废物?
它确实存在刺伤人体的风险,如何处理,成了感控部门非常纠结的管理点。
查看 »
Copyright © 2007-2025
四川省猫论坛
(http://www.scshengmao.cn/) 版权所有 All Rights Reserved.
E-mail:sific2007@163.com QQ:2420400092(小小牧童)
Powered by
Discuz!
X3.5 技术支持:
上海莫畏信息科技有限公司
|
沪ICP备16047626号-1
快速回复
返回顶部
返回列表